Skip Menu
  • 12311 Copper Way,
  • Suite 101,
  • Charlotte, NC 28277
  • Home
  • About Us
    • Our Office
    • Meet Dr. Schramm
    • Meet Dr. Rader
    • Our Blog
    • Newsletters
  • Services
      • Cosmetic Bonding
      • Cosmetic Dentistry
      • Crown & Bridge
      • Dental Implants
      • Dentures & Partials
      • Digital X-Rays
      • General & Family Dentistry
      • Invisalign®
      • Oral Cancer Screening
      • Porcelain Veneers
      • Restorative Dentistry
      • Root Canals
      • Sleep Apnea
      • Tooth Colored Fillings
      • Teeth Whitening
    • View All
  • Smile Gallery
  • FAQs
  • Reviews
  • New Patients
  • Patient Portal
  • Pay Now
  • Contact

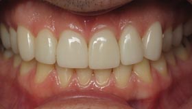
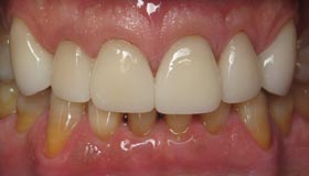
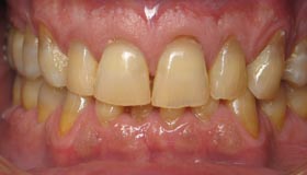
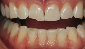
Smile Gallery

Our Location

12311 Copper Way
Suite 101
Charlotte, NC 28277
(704) 215-4516
Fax: (704) 542-7180

Follow Us

Schedule Your Appointment Today!

At Schramm Dentistry, our expert dental team provides general, cosmetic, and restorative dentistry for you and your family. We service the communities of Ballantyne, Charlotte, Matthews, Mint Hill, Pineville, Fort Mill, SC and Indian Land, SC.

Contact Us Today
AADSM
Academy of General Dentistry
American Dental Association
CareCredit
Invisalign
American Academy of Cosmetic Dentistry